הזרקת חומצה היאלורונית לפפילה – black triangle, היא הליך דנטלי קוסמטי המשמש לעיתים לסגירת רווחים בין השיניים. הפפילה היא רקמת החניכיים בצורת משולש שיושבת בין השיניים, והזרקת חומצה היאלורונית לתוכה יכולה לעזור למלא אותה ולגרום לה להיראות מלאה יותר.
חומצה היאלורונית היא חומר טבעי שנמצא בגוף ומשמש בהליכים קוסמטיים רבים, כולל חומרי מילוי עוריים. בהליכי שיניים משתמשים בחומצה היאלורונית כדי להמריץ את ייצור הקולגן הטבעי של הגוף, מה שיכול לעזור למילוי רווחים בין השיניים וליצור חיוך אחיד ומושך יותר.
פפילה, הוא משולש של החניכיים המצוי בין שתי שיניים, וכאשר מוזרקת אליו חומצה היאלורונית היא יכולה לעזור למלא את רקמת החניכיים ואת הרווחים הללו.
מדוע לבצע הזרקת חומצה היאלורונית לסגירת רווחים בשיניים?
- מראה: הליך זה יכול לעזור לשפר את מראה החיוך על ידי מילוי רווחים בין השיניים. המראה האחיד הוא אסתטי יותר.
- זעיר פולשני: בניגוד להליכים דנטליים אחרים כגון פלטה או ציפוי, הזרקת חומצה היאלורונית הוא הליך זעיר פולשנית ואינה דורשת כל קידוח או הסרה של אמייל השן.
- מהירות: ההליך מהיר, ניתן לראות את התוצאות מיד, ללא צורך בזמן השבתה מועט.
- תוצאות במראה טבעי: חומצה היאלורונית היא חומר טבעי שכבר קיים בגוף, מה שאומר שהתוצאות הן בדרך כלל טבעיות למראה.
- סיכון נמוך: הליך זה נחשב בדרך כלל לבעל סיכון נמוך, עם מעט תופעות לוואי או סיבוכים.
למי מתאים התהליך?
השיטה עשויה להתאים לאנשים בעלי רווחים קטנים בין השיניים. הזרקת החומצה לתוך הפפילה יכולה להיות דרך יעילה לשפר את מראה החיוך מבלי לעבור הליכים דנטליים פולשניים יותר. יחד עם זאת, הליך זה עשוי שלא להתאים לכל אחד, וחשוב להתייעץ עם רופא שיניים מוסמך כדי לקבוע אם זו האפשרות הנכונה.
מספר גורמים שעשויים להשפיע על ההחלטה האם הליך זה מתאים למטרות שאותן מנסים להשיג:
- גודל הרווח: פרוצדורה זו היא בדרך כלל היעילה ביותר עבור מרווחים קטנים בין השיניים. אם יש רווחים גדולים מדי, ייתכן שיהיה צורך לשקול טיפולי שיניים אחרים כגון פלטה או ציפוי.
- בריאות החניכיים: הפריודונט יצטרך להעריך את בריאות החניכיים כדי לקבוע אם הליך זה הוא הנכון ביותר עבור הסיטואציה של מרווחים בשיניים. אם לדוגמה קיימת מחלת חניכיים או בעיה אחרת, ייתכן שהליך זה לא יומלץ.
- בריאות השיניים הכללית: הרופא ישקול גם את בריאות השיניים כאשר הוא קובע אם הליך זה מתאים. במידה וישנן בעיות דנטליות אחרות כגון עששת ייתכן שיהיה צורך לטפל בהן לפני שניתן לבצע הליך זה.
- העדפות אישיות: חשוב לקחת בחשבון את ההעדפות האישיות בעת ההחלטה אם לעבור הליך זה.
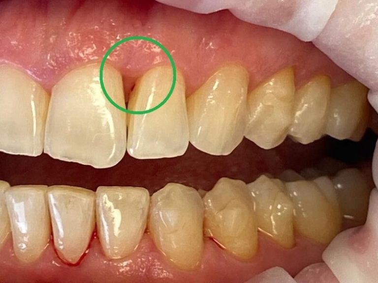
במצבים של דלקת חניכיים, נסיגת חניכיים, לאחר ניתוחי שיניים או עקירות, מגיעים לעיתים למצבים של חוסר בפפילה. המשמעות האסתטית של זה היא משולש שחור בין השיניים. במקום רקמת חניכיים ורודה הממלאת את המרווח, מקבלים אזור נטול חניכיים, הנותן מראה של מעין חור הפוגם בשלמות האפקט הוויזואלי של השיניים.
איך מבצעים את ההזרקה?
- בדיקה והערכה: השלב הראשון הוא שהרופא יבדוק את השיניים והחניכיים כדי לקבוע אם ההליך מתאים, מומלץ, רלוונטי וצפוי להיות אפקטיבי. הוא עשוי לקחת צילומי רנטגן והדמיה אחרת כדי להעריך את הגודל ומיקום הרווחים.
- יישום של הרדמה מקומית: לפני הזרקת חומצה היאלורונית, רופא השיניים בדרך כלל ישתמש בהרדמה מקומית כדי להרדים את האזור סביב הפפילה.
- הזרקת החומצה: ברגע שהאזור קהה, המטפל ישתמש במזרק כדי להזריק כמויות קטנות של חומצה היאלורונית לתוך הפפילה. החומצה עוזרת להמריץ את ייצור הקולגן בחניכיים, מה שיכול לעזור למילוי רווחים וליצור מראה מלא ואחיד.
- טיפול לאחר ההליך: לאחר השלמת ההזרקה, המטפל מספק הנחיות לטיפול לאחר הפרוצדורה. זה עשוי לכלול הימנעות ממזונות או משקאות מסוימים למשך תקופה מסוימת, כמו גם צחצוח קבוע ושימוש בחוט דנטלי כדי לשמור על היגיינת הפה.
ההליך כולו נמשך בדרך כלל דקות ספורות בלבד, וניתן לראות את התוצאות תוך זמן קצר. רוב המטופלים חווים מעט או ללא אי נוחות במהלך או לאחר ההליך. עם זאת, כן חשוב לעקוב אחר הוראות הרופא לטיפול לאחר מכן כדי להבטיח את התוצאות הטובות ביותר וכדי למזער את הסיכון לסיבוכים כלשהם.
יתרונותיה של חומצה היאלורונית
יתרונה העיקרי הוא ביכולתה של כל מולקולה של חומצה לספוח כאלף מולקולות של מים, מה שתורם לגמישותו של העור, לשמירה על הנפח שלו ועל מיצוקו. מדובר בדרך יעילה להחזרת מילוי קמטים ונפחים שנוצרים עקב שינויים ברקמות הרכות של הפנים.
חומצה זו מיוצרת בתנאים מפוקחים והיא בעל פרופיל בטיחותי גבוה. יתרון נוסף הוא יכולתה להיספג לזמן ממושך. בניגוד לניתוחים קבועים ניתן להזריק אותה במקומות שונים בהתאם לשינוי שחל במראה הפנים. הזרקתה לקו החניכיים, בעיקר בלסת העליונה, משחזרת את המראה הטבעי שלו.
כך בוחרים מרפאה מתאימה
בחירת מרפאה מתאימה בה ניתן לעבור את הפרוצדורה היא החלטה חשובה שיכולה להשפיע על הצלחת ובטיחות ההליך. להלן מספר גורמים שכדאי לקחת בחשבון בעת הבחירה:
- כישורים וניסיון: חשוב לבחור במרפאה המעסיקה רופאים מוסמכים ומנוסים שהוכשרו בביצוע הליך זה. חפשו רופאים המתמחים אסתטיקה דנטלית ובעלי ניסיון בביצוע הזרקת חומצה היאלורונית לפפילה.
- מוניטין וביקורות: חפשו מרפאות שיש להן מוניטין טוב וביקורות חיוביות ממטופלים קודמים.
- ציוד ומתקנים: בחרו במרפאה שיש בה ציוד ומתקנים חדישים ועדכניים. זה יכול לעזור להבטיח שהתהליך מתבצע בצורה בטוחה ויעילה.
עלות: אמנם עלות לא צריכה להיות הגורם היחיד שאותו לוקחים בחשבון, אבל חשוב לבחור במרפאה שמציעה תמחור שקוף ותשלומים הוגנים. - מיקום ונגישות: בחרו מרפאה הממוקמת בצורה נוחה ונגישה בקלות. זה יכול לעזור להבטיח שמגיעים בזמן לפגישות מעקב או מקבלים במידת הצורך כל טיפול הכרחי אחר.
- ייעוץ ותקשורת: בחרו במרפאה המציעה ייעוץ מקדים, בה תוכלו לדון במטרות שלכם, לשאול שאלות ולקבל המלצות מותאמות אישית.
יש שאלות? ד"ר חיה מאיר - מומחית למחלות חניכיים תספק את התשובות
התייעצות קצרה עם ד"ר חיה מאיר – מומחית למחלות חניכיים, תעזור לך להבין בצורה מלאה מה היתרונות של הזרקת חומצה היאלורונית וכיצד מבצעים אותה. כמו כן, פגישה עם ד"ר מאיר היא השלב הראשון בתהליך התאמת הטיפול לצרכים ולדרישות שלך.
השארת פרטים באתר לקביעת תור והצטרפות אל משפחת המטופלים המרוצים של המרפאה.